IMPLANT
インプラント
歯を失ってしまった方への治療法


当院におけるインプラント治療の特徴
インプラントとは、歯を抜いた際に、その失った部分を補うための治療法の一つです。
特徴1.
世界で最も信頼の置けるインプラントの使用
特徴2.
CTや最新器材を用いた
精度の高い治療計画と手術
特徴3.
丁寧な説明とアフターフォロー
(保証制度の充実)
医院で使用しているインプラントの種類
ノーベルバイオケア
当院で採用しているインプラントの特徴
特徴1. 世界で最も使用されている実績のあるインプラント
特徴2. 世界で最も歴史の長いインプラント
特徴3. どんな症例にも対応できるインプラント
特徴4. 家族や大切な人に提供したいインプラント
インプラント治療の流れ
1. カウンセリング
担当ドクターと専門スタッフから丁寧な説明とカウンセリングがあり、時間をかけて親身に治療計画を立てていきます。
2. 精密検査
CT撮影や手術に必要な模型や資料を揃えていきます。
3. 治療計画の提案
見積もりや手術計画が出来上がります。
4. インプラント埋入
インプラントを埋める手術を行います。
5. 待機期間
待機する期間があります(3ヶ月から8ヶ月)
6. 仮歯の作成
埋めたインプラントに仮歯を作成していきます。
7. 型取り ⇒ 本歯作成
また型取りをして、本歯を作成していきます。
8. セット
正式な歯がセットされます。
9. アフターケア
半年から1年でのメンテナンスとなります。
インプラント治療メリット
メリット1.
周りの歯を削らない
歯を失った部分をブリッジ治療で行うと周りの歯を削る必要があります。
歯は一度削ってしまうとやり直し続けなければいけません。
インプラント治療を行うことによって残っている歯を削らず、綺麗な状態で維持することができます。
メリット2.
周りの歯の負担を軽減できる
歯を失った部分に入れ歯やブリッジ治療を行うと、残っている歯に大きな負担がかかり寿命が短くなってしまいます。
インプラント治療をすることによって残っている歯の負担を軽減し、周りの歯が揺れてくることや、割れてしまうのを防ぐことができます。
メリット3.
シンプルな治療が出来る
ブラッジや入れ歯の場合、土台にしている歯が虫歯や歯周病になってしまうと全てをやり直す必要があります。
3つ繋がっているブリッジだと、3つの被せ物を全て外してやり直さなくてはいけません。
インプラントの場合はそれぞれ独立しているものが多いので、悪くなった部分だけを治療すれば済みます。
インプラント治療デメリット
デメリット1.
外科手術が必要
インプラントは骨の中に人工歯根(インプラント)を埋め込む治療です。
部分麻酔を使用した外科処置が必要です。
場合によっては腫れや痛み、内出血などが起こることがあります。
また、手術の時、大きな神経や血管を傷つけてしまうと出血が止まらなかったり、麻痺が残ってしまうことがあります。
デメリット2.
メンテナンスしないと歯周病になる
インプラントはメンテナンスを怠ってしまうと歯周病で抜けてきてしまうことがあります。
インプラントも歯と同じように歯石が付きます。
インプラントは歯よりも防御する力が弱いため、インプラントの周りに細菌が残っていると、歯茎が腫れたり、膿が出たり、揺れてきたりすることがあります。
デメリット3.
時間がかかる
インプラントは治療をしてすぐに被せ物が入るものではありません。
CT検査や噛み合わせの確認、インプラントが骨と付くのを待つ期間など最低3ヶ月程度はかかります。
デメリット4.
保険診療でできない
インプラント治療は一部の特殊な場合を除いては保険診療で行うことはできません。
自費診療となり30万円から50万円程度かかります。
インプラント 寿命について
10年から15年が一つの目安と言われていますが20年以上持つ場合もたくさんあります。
ひかりのテラス歯科医院独自の保証制度を導入しております。
上物とインプラント(人工歯根)とも5年の完全保証で その後も20%の永続的な保証がございます。
治療例
1本だけない場合の治療方法
無いところに1つインプラントを埋めて1つの歯を作ります。
シンプルな治療になります。
数本ない場合の治療方法
無いところにインプラントを全部埋めるのではなく、必要な分のインプラントを埋めます。
上物はブリッジタイプとなり、無い部分の全部の歯を作ります。
全部ない場合の治療方法
下顎では4〜6本、上顎では6〜8本のインプラントを埋め、全部の歯を作ります。
1本あたりの費用は1番少なくなります。
インプラント 料金
| インプラント相談 | 無料 |
|---|---|
| 治療計画立案 (CT撮影込) |
33,000円 |
| インプラントフィクスチャー (埋入料込) |
330,000円 |
| インプラント上部構造 | 165,000円 |
その他
| GBR (骨増生術) |
55,000〜円 |
|---|---|
| サイナスリフト (上顎洞挙上術) |
165,000〜円 |
| 上顎フルインプラント (全て込み) |
3,850,000〜円 | 下顎フルインプラント (全て込み) |
3,300,000〜円 |
| オールオン4 (全て込み) |
2,750,000〜円 |
※ 費用はすべて税込価格です。
インプラント 症例

インプラント治療とは、頑丈な金属で作られた人工の歯根を骨に埋め込み、結合させたもの土台にして、自然の歯に近い人工の歯を取り付けます。インプラントは独立しているため、入れ歯やブリッジ等と違い、残っている健康な歯に負担をかけることはなく、自然の歯に近い感覚で力強く噛むことが可能です。
当院で治療した症例についてご紹介いたしますので、「歯がなくてお困りの方」「入れ歯・ブリッジにお悩みの方」は、ぜひ一度参考にご覧ください。
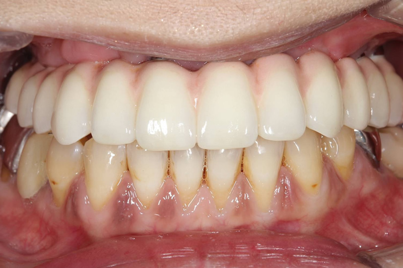
インプラント case.1
口腔内写真の比較
-
治療前
-
治療後
レントゲン写真の比較
-
治療前のレントゲン写真
-
治療後のレントゲン写真
| 主訴 | 右下ブリッジ取れた |
|---|---|
| 治療期間 | 1年 |
| 治療費 | 1,080,000円(税込) |
| 治療内容 | インプラントフィクスチャー2本・上部構造3歯 |
| 治療のリスク | ・インプラント手術後は反応性の出血、腫れ、あざがでる場合があります。 ・喫煙、糖尿病、加齢、清掃不良などに伴いインプラント周囲の骨に炎症が起こり、再治療が必要になる場合があります。 ・治療後5年以内であれば無償で再治療を行います。5年の完全保証を受けるには当院にて年1~2回以上のインプラントメンテナンスが必要になります。 ・それ以降は永久的に20%の部分的保証期間となります。 こちらも、年1~2回以上のインプラントメンテナンスを受けていることが必要になります。 |
インプラント case.2
口腔内写真の比較
-
治療前
-
治療後
レントゲン写真の比較
-
治療前のレントゲン写真
-
治療後のレントゲン写真
| 主訴 | 歯茎が痛い |
|---|---|
| 治療期間 | 9か月 |
| 治療費 | 1,566,000円(税込) |
| 治療内容 | インプラントフィクスチャー3本・ 上部構造4歯・GBR(骨増生) |
| 治療のリスク | ・インプラント手術後は反応性の出血、腫れ、あざがでる場合があります。 ・喫煙、糖尿病、加齢、清掃不良などに伴いインプラント周囲の骨に炎症が起こり、再治療が必要になる場合があります。 ・治療後5年以内であれば無償で再治療を行います。5年の完全保証を受けるには当院にて年1~2回以上のインプラントメンテナンスが必要になります。 ・それ以降は永久的に20%の部分的保証期間となります。 こちらも、年1~2回以上のインプラントメンテナンスを受けていることが必要になります。 |
インプラント case.3
口腔内写真の比較
-
治療前
-
治療後
レントゲン写真の比較
-
治療前のレントゲン写真
-
治療後のレントゲン写真
| 主訴 | 入れ歯を使っているが、インプラントに興味がある。 |
|---|---|
| 治療期間 | 9か月 |
| 治療費 | 3,960,000円(税込) |
| 治療内容 | 上顎フルインプラントパック (フィクスチャー8本)・サイナスリフト |
| 治療のリスク | ・インプラント手術後は反応性の出血、腫れ、あざがでる場合があります。 ・喫煙、糖尿病、加齢、清掃不良などに伴いインプラント周囲の骨に炎症が起こり、再治療が必要になる場合があります。 ・治療後5年以内であれば無償で再治療を行います。5年の完全保証を受けるには当院にて年1~2回以上のインプラントメンテナンスが必要になります。 ・それ以降は永久的に20%の部分的保証期間となります。 こちらも、年1~2回以上のインプラントメンテナンスを受けていることが必要になります。 |
インプラント case.4
口腔内写真の比較
-
治療前
-
治療後
レントゲン写真の比較
-
治療前のレントゲン写真
-
治療後のレントゲン写真
| 主訴 | 被せものがとれたり、抜けたりした所を直したい。 |
|---|---|
| 治療期間 | 1年8か月 |
| 治療費 | 上顎3,465,000円(税込)・ 下顎1,430,000円(税込) |
| 治療内容 | 上顎 インプラントフィクスチャー6本・ 上部構造11歯・サイナスリフト 下顎 インプラントフィクスチャー3本・ 上部構造4歯 |
| 治療のリスク | ・インプラント手術後は反応性の出血、腫れ、あざがでる場合があります。 ・喫煙、糖尿病、加齢、清掃不良などに伴いインプラント周囲の骨に炎症が起こり、再治療が必要になる場合があります。 ・治療後5年以内であれば無償で再治療を行います。5年の完全保証を受けるには当院にて年1~2回以上のインプラントメンテナンスが必要になります。 ・それ以降は永久的に20%の部分的保証期間となります。 こちらも、年1~2回以上のインプラントメンテナンスを受けていることが必要になります。 |
インプラント case.5
口腔内写真の比較
-
治療前
-
治療後
レントゲン写真の比較
-
治療前のレントゲン写真
-
治療後のレントゲン写真
| 主訴 | インプラントの相談がしたい。 |
|---|---|
| 治療期間 | 9か月 |
| 治療費 | 4,950,000円(税込) |
| 治療内容 | オールオン4 |
| 治療のリスク | ・インプラント手術後は反応性の出血、腫れ、あざがでる場合があります。 ・喫煙、糖尿病、加齢、清掃不良などに伴いインプラント周囲の骨に炎症が起こり、再治療が必要になる場合があります。 ・治療後5年以内であれば無償で再治療を行います。5年の完全保証を受けるには当院にて年1~2回以上のインプラントメンテナンスが必要になります。 ・それ以降は永久的に20%の部分的保証期間となります。 こちらも、年1~2回以上のインプラントメンテナンスを受けていることが必要になります。 |



