こんなお悩みはありませんか?
- 矯正治療の
後戻りが
心配 - 腕のいい先生の
治療を受けたい - 痛い治療に対して
恐怖心がある - 日常生活に
支障が出ないか
心配 - 周囲にバレずに
歯並びを
整えたい
こんなお悩みをお持ちの方は
マウスピース矯正が
おすすめです。
contact
矯正をお考えの方は
お気軽にご相談ください
無料
カウンセリングを
ご利用ください
― お電話またはWEBより
ご予約いただけます ―
お電話・WEBにてご相談のご予約を
受け付けています。
お気軽にお問い合わせください。
FEATURE
ひかりのテラス歯科
クリニック矯正治療の特徴
FEATURE 01
確かな技術と知識をもつ、
日本矯正歯科学会
認定医が担当。
矯正治療は見た目だけでなく、かみ合わせや骨格、将来の健康まで見据えた精密な診断が必要です。
当院では、厳しい基準をクリアした「日本矯正歯科学会認定医」が一人ひとりに最適な治療計画を立案・実施します。
専門性の高い矯正治療で、安心してお任せいただけます。
日本矯正歯科学会
認定医とは?
認定医以上の資格を持っている医師はおよそ15人〜20人に1人とかなり少ない割合なので、候補先の病院・クリニックに「認定医以上」が在籍しているという事実は、腕の良い矯正歯科医を探す上で非常に重要となります。
FEATURE 02
1,000症例以上の
豊富な治療実績
多様なケースを経験してきたからこそ、あなたに最適な治療が提案できます。経験は、信頼の証です。
FEATURE 03
マウスピースが難しい
症例でも
その他の矯正治療が可能
これまでに1,000症例以上の矯正治療実績がございますので、他院だと断られてしまうような難しい歯並びもマウスピース矯正やその他の矯正治療にて対応することが可能です。
FEATURE 04
丁寧なカウンセリング
無料でできる!矯正相談
当院では、実際に治療を始める前に矯正相談を無料で受けていただけます。「治療を始める前に相談だけしたい!」「治療に対して不安がある...」という方もお気軽にご予約ください。
FEATURE 05
分割払いが可能!
「矯正したいけど、費用が心配…」そんな方もご安心ください。
当院では、分割払い(最大120回)ができるシステムをご用意しています。 あなたのライフスタイルに合わせて、ムリなく通える矯正治療を始めましょう!
デンタルローンのお支払例
月々
5,700円〜
で始められます
※治療費550,000円の矯正治療を120回払いでの
お支払いいただく場合の例となります
FEATURE 06
忙しい方も通院しやすい環境
矯正治療をするうえで、「通いやすさ」や「続けやすさ」などの利便性はとても大切です。
治療は数ヶ月から数年にわたって定期的な通院が必要になります。
だからこそ、アクセスの良さや予約の取りやすさ、ライフスタイルに合わせた柔軟な対応が、患者様のストレスを減らし、理想の歯並びへの近道になります。
-
年中無休
-
イオンモール内でアクセス良好
-
駐車場併設
COM
PARISON
一般歯科医と
矯正専門医の比較
矯正治療はどこの医院で
治療しても同じ?
実は、矯正治療は医院や担当する医師によって大きく結果が変わります。
当院の矯正専門医は、豊富な治療経験を積み、歯の動きや骨格、顔全体のバランスを総合的に診断。
「どこで治療しても同じ」ではなく、「誰に診てもらうか」が、仕上がりの差を生みます。
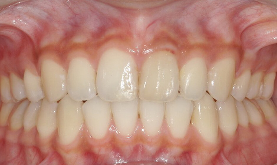
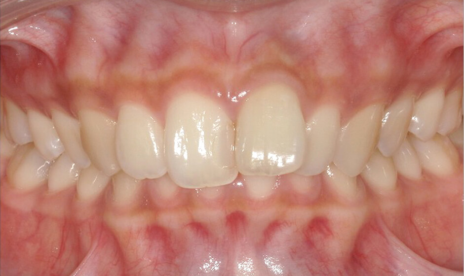
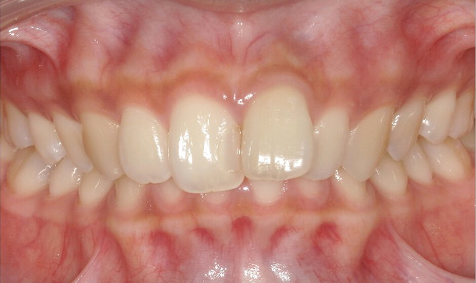
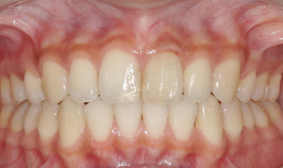
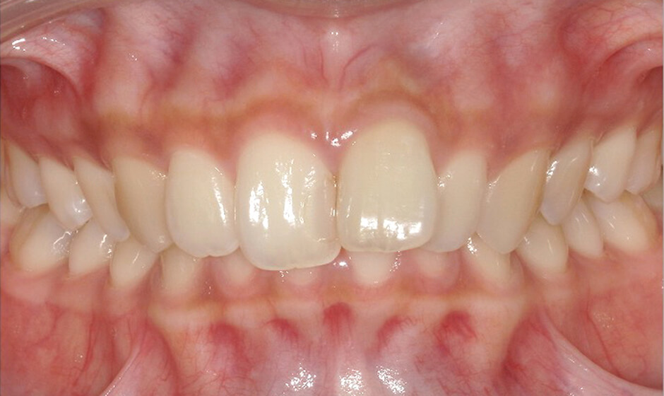
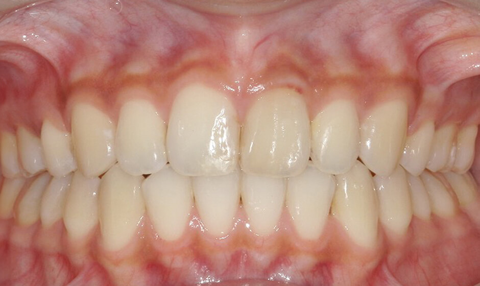
CASE
症例紹介
MOUTH
PIECE
マウスピース型矯正装置
(インビザライン)について
歯並びのさまざまな悩みに
お応えするマウスピース矯正
それがインビザラインです!
インビザラインによる矯正治療では、マウスピース型の矯正装置を使用します。この透明な装置は目立ちにくく、見た目を気にする方でも始めやすい治療法です。歯並びを整えるために抜歯が必要な方や、大きく歯を動かす必要がある場合にも対応できるのが特徴です。インビザラインは世界各国で広く使用されており、2024年3月時点で1,500万人以上の実績があります。
MERIT
マウスピース型矯正装置
(インビザライン)が
多くの患者様に
選ばれている理由
-
MERIT
01
目立ちにくい
透明なプラスチック製のマウスピースは、装着中でも目立ちにくいのが特徴です。矯正していることを周りに知られたくない方や、人前で話す機会が多い方におすすめです。
-
MERIT
02
装置が取り外せる
必要な時には、患者さんご自身でマウスピースを取り外すことができます。普段通りに食事を楽しめる上、歯磨きもきちんとできるので、むし歯や歯周病のリスクを軽減できます。
-
MERIT
03
来院回数が少ない
インビザラインはワイヤー矯正のような細かな装置調整が不要なため、来院頻度が少ないことが特徴です。
そのため仕事や家事で忙しい方でも無理なく治療を継続できます。 -
MERIT
04
ホワイトニングが同時にできる
マウスピースを取り外せるので、ホワイトニング剤を塗布したり、ホームホワイトニングのトレーとして活用することも可能。
「歯並びを整えながら、白く美しい歯も手に入れたい」という方に、効率的で人気の組み合わせです。 -
MERIT
05
痛みや違和感が少ない
マウスピースは薄く柔らかいプラスチック素材で作られており、口内を傷つける心配がありません。また、違和感が少なく、痛みに敏感な方にも適しています。
-
MERIT
06
金属アレルギーの
心配がないマウスピースはプラスチック製で、金属を使用していないため、金属アレルギーの方でも安心してご使用いただけます。
さまざまな歯並びの乱れに
対応できます
インビザラインは世界各国でさまざまな状態の歯並び改善に使用されてきた
豊富な実績がありますので、幅広い歯並びや噛み合わせに柔軟に対応できます。
-
ガタガタ
-
出っ歯
-
下顎が出ている
-
すきっ歯
-
噛み合わせの
ズレ -
噛み合わせが
深い -
口が閉じない
contact
矯正をお考えの方は
お気軽にご相談ください
無料
カウンセリングを
ご利用ください
― お電話またはWEBより
ご予約いただけます ―
お電話・WEBにてご相談のご予約を
受け付けています。
お気軽にお問い合わせください。
FLOW
マウスピース矯正の流れ
-
01.
無料カウンセリング
ひかりのテラス歯科クリニックでは「歯並びチェック」を無料で実施しています。
歯並びにお悩みの方や矯正治療を検討している方は、まずお気軽に無料相談をご利用ください。矯正治療に詳しい歯科医師がしっかりとお悩みをヒアリングし、さまざまな質問にお答えします。また、治療にかかる期間や費用などをご説明いたします。 -
02.
精密検査
診療計画の作成に必要な情報を収集するため、精密検査を実施します。パノラマレントゲンや頭部専用のセファロレントゲン、短時間で精密な型取りができる口腔内スキャナーなどの先端機器を使用して、患者さんの状態を詳細に把握します。その後、治療の開始から終了までを緻密にシミュレーションします。
- レントゲン診断
- 口腔内スキャン
- 口腔内診査
-
03.
診療・治療計画の
説明必要な治療内容や計画について丁寧にご説明いたします。治療にご理解をいただきましたら矯正治療を開始します。1〜3ヵ月に1度を目安にご来院いただき、装置やお口の状態を確認します。ご不明点や気になることがあれば、遠慮なくお尋ねください。
-
04.
治療開始
カウンセリング内容および精密検査の結果をもとに、日本矯正歯科学会に所属する認定医の歯科医師が立案した治療計画に基づいて治療を開始いたします。装置の装着と注意事項の説明、取り外しの練習を行います。
-
05.
保定期間
矯正治療で移動した歯は、時間が経つと後戻りする可能性があります。そのため、治療終了後には後戻りを防ぐための保定期間を設けています。この期間中は、後戻り防止用のリテーナーと呼ばれるマウスピース型の装置を装着していただきます。リテーナーの取り扱いや装置の注意事項については、詳しく説明いたします。(保定装置は初回の1セットは無料です。)
PRICE
料金について
● 相談・検査費用
| 矯正相談 | 無料 |
|---|---|
| 初診料・精密検査料 | 50,000円 |
● 成人矯正装置料
| クリアアライナー 治療・フル |
1,000,000円 |
|---|---|
| クリアアライナー 治療・ モデレート |
500,000〜600,000円 |
| クリアアライナー 治療・ライト |
300,000〜400,000円 |
| マルチブラケット治療 | 800,000円 |
| 部分矯正 (マルチブラケット 装置) |
280,000〜400,000円 |
● 小児矯正装置料
| 小児矯正 | 320,000円 |
|---|---|
| 小児用 クリアアライナー |
550,000円 |
● 調整料または経過観察料(月1回まで)
| 調整料 | 5,000円 |
|---|---|
| 経過観察量 | 3,000円 |
| クリアアライナー 治療経過観察料 |
無料 |
● 保定装置料
| 上下1セット(2個) | 無料(初回のみ) |
|---|---|
| 上下3セット(6個) | 50,000円 |
| 追加作成(1個につき) | 15,000円 |
● オプション
| セラミックブラケット (片顎) |
20,000円 |
|---|---|
| 歯科矯正用 アンカースクリュー(1本) |
20,000円 |
| 便宜抜歯(1歯) | 10,000円 |
| ホワイトワイヤー(1本) | 3,000円 |
※費用はすべて税込み価格です
※セカンドオピニオンでもご相談ください
※クリアアライナー治療とはマウスピース矯正(インビザラインなど)のことです。
● 費用が心配な方へ
「矯正したいけど費用が心配...」そんな方もご安心ください。
当院では、分割払い(最大120回)ができるシステムをご用意しています。
あなたのライフスタイルに合わせて、無理なく矯正治療をはじめましょう!
デンタルローンのお支払例
月々
5,700円〜
で始められます
※治療費550,000円の矯正治療を120回払いでの
お支払いいただく場合の例となります
お支払い方法
当院では現金のほか、振込、クレジットカード、電子マネー、QR決済に対応しています。
-
現金
-
クレジット
カード -
デンタル
ローン
医療費控除について
医療費控除とは、1年間(1月1日~12月31日)に10万円以上の医療費を支払った場合に受けられる、一定金額の所得控除を指します。ご自身の支払いはもちろん、生計を共にするご家族さまが支払った医療費も対象となります。詳しくは国税庁のホームページをご覧ください。
FAQ
よくあるご質問
- 矯正治療は痛いというイメージがあるのですが、実際は痛いのでしょうか?
- 「痛い」というイメージがありますが、実際は個人差が大きく、多くの場合、耐えられないほどの痛みではありません。ワイヤー矯正に比べると、一度にかかる力がマイルドなため、痛みが少ないと感じる方が多いです。新しいマウスピースに交換した直後に軽い圧迫感がある程度です。
- マウスピース矯正で歯を抜くことはありますか?
-
あります。以下のようなケースで抜歯が必要か判断します。
非抜歯(歯を抜かない)が優先: 軽度な歯並びの乱れや、少しだけスペースが必要な場合は、歯を抜かずに行うことが多いです。
抜歯が必要なケース:
・重度の出っ歯(上顎前突)や受け口(下顎前突)**など、歯を大きく動かして口元の印象を変える必要がある場合。
・歯のガタつき(叢生)が非常に大きく、**顎の骨の中に歯が収まりきらない場合。
- 頻繁にスポーツを行います。矯正治療はできますか?
-
問題なくできます。特にマウスピース矯正はスポーツをされる方に非常に適しています。
マウスピース矯正の場合:
・治療用のマウスピース(アライナー)を外せば、普段お使いのスポーツ用マウスガードをそのまま着用できます。
・万が一、衝撃を受けても、口の中に金属の装置がないため怪我のリスクが非常に低いです。
- 他の人になるべくバレないように矯正したいのですが。
-
問題なくできます。特にマウスピース矯正はスポーツをされる方に非常に適しています。
マウスピース矯正は、最も目立たない矯正方法の一つです。
・透明で薄い素材: マウスピースは透明なプラスチックでできており、装着してもほとんど気づかれません。
・取り外し可能: 食事や歯磨きの際に自分で取り外せるため、矯正前と同じように食事を楽しめ、衛生的です。
- マウスピース矯正で対応できない歯並びはありますか?
-
はい、残念ながらマウスピース矯正(特に一般的なもの)だけでは対応が難しい、または治療期間が長くなる傾向がある歯並びがあります。
そういった場合でも、専門医による治療では効率や確実性を高めるために、ワイヤー矯正の併用などのご提案をさせていただきます。
contact
矯正をお考えの方は
お気軽にご相談ください
無料
カウンセリングを
ご利用ください
― お電話またはWEBより
ご予約いただけます ―
お電話・WEBにてご相談のご予約を
受け付けています。
お気軽にお問い合わせください。
DOCTOR
矯正担当医挨拶
矯正で20年後も誇れる笑顔を
皆様、はじめまして。
矯正医の河村 徳之と申します。
矯正治療は見た目の改善だけでなく、歯やその周囲組織の健康も改善できると考えております。私は患者さんの笑顔と豊かな人生をサポートしたいという思いで治療にあたっております。どうぞよろしくお願いいたします。
日本矯正歯科学会 認定医
河村 徳之 Noriyuki Kawamura
経歴
- 茨城県笠間市 出身
- 江戸川学園取手中・高等学校 卒業
- 奥羽大学歯学部 卒業
- 奥羽大学大学院 卒業 博士(歯学) 取得
- 日本矯正歯科学会認定医 取得
- おかざき矯正歯科クリニック 退職
- 河村歯科医院(茨城県) 勤務医
- ひかりのテラス歯科クリニック 勤務医
- ひかりのテラス歯科クリニック+(プラス) 勤務医
資格・所属学会
- 日本矯正歯科学会 認定医
- 日本矯正歯科学会
- 東京矯正歯科学会
- 東北矯正歯科学会
- 顎変形症学会
- 矯正専門勉強会『木曜の夜に』理事
CLINIC


















